Photo Gallery
Before and After Pictures
(page 1)
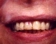
This patient is an artist, who had a very clear image of how she wanted to look.  She wanted a
cute smile, with straight, white teeth.  She had flared out front teeth with large spaces.
Porcelain crowns were used to straighten her teeth, and give her the beautiful smile she wanted.
Before
After
click to enlarge
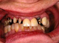
The front right central incisor tooth had to be removed due to a rare degeneration of the root.  A
ceramic bridge and ceramic crowns were placed on this patient's upper teeth, resulting in a
natural and attractive smile.
Before
After
After
click to enlarge
click to enlarge
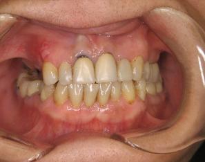
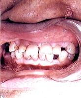
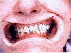
The top teeth on this patient were restored with ceramic crowns.  She had extensive
broken and stained old fillings.
Before
After
After
click to enlarge
click to enlarge
click to enlarge
Old bonding and chipped irregular teeth were problems this patient wanted corrected.  A
combination of ten ceramic crowns and laminates, gave her a bright beautiful smile that
matched her face.
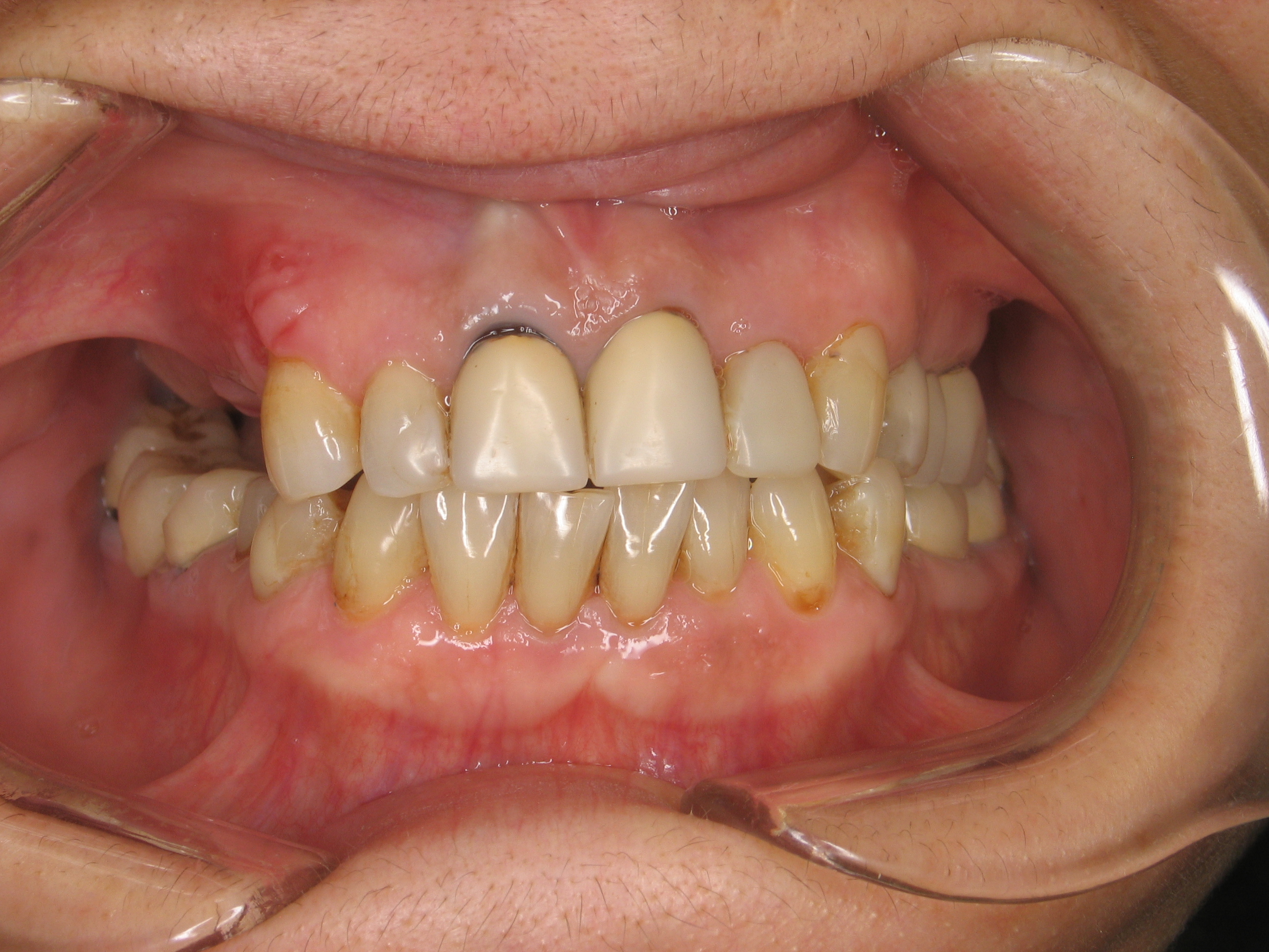
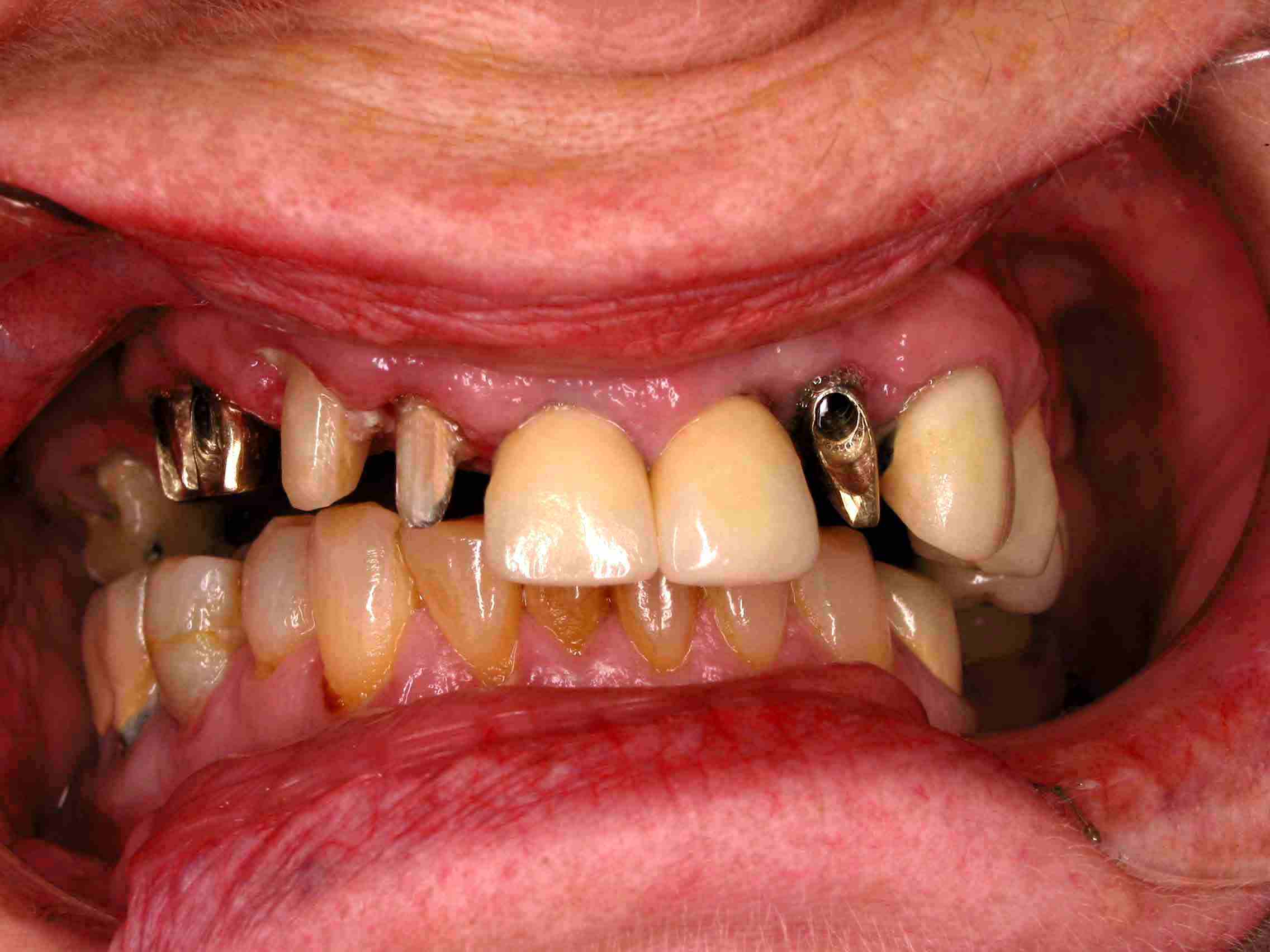
3 implants replaced 3 missing teeth. 3 implant crowns and  2 crowns on her natural teeth were
used to restore this patient's smile. The implant crowns and the crowns on the patient's own
teeth match her existing teeth very well.
click to enlarge
click to enlarge
Before
After
After
click to enlarge
click to enlarge
click to enlarge
click to enlarge
click to enlarge
click to enlarge
Before
After
After
Gallery Page  1  2  3  4  5  6  7  8  9  10   11  12    
next
E-mail us at
info@freedmandental.co
m
East Northport Dental Care
Mark H Freedman, DDS
General, Family, Implant and Cosmetic Dentistry
1023 Pulaski Road
East Northport, NY  11731
631-261-2880
Two implants and eight all ceramic E-max crowns gave this result
Gallery Page  1  2  3  4  5  6  7  8  9  10   11  12    
next