Implants
Implants have become the most natural, reliable and problem free methods of permanently replacing missing teeth.  
The success rate for implants currently averages around 98%.  The implant procedure involves placing a titanium
anchor into the missing tooth area.  Your jaw bone will actually grow into the implant resulting in a very strong artificial
root.  We then screw a post into your new root and cement a very natural looking porcelain crown on top.  The implant
process is not painful at all, and is often less expensive than permanent bridges.
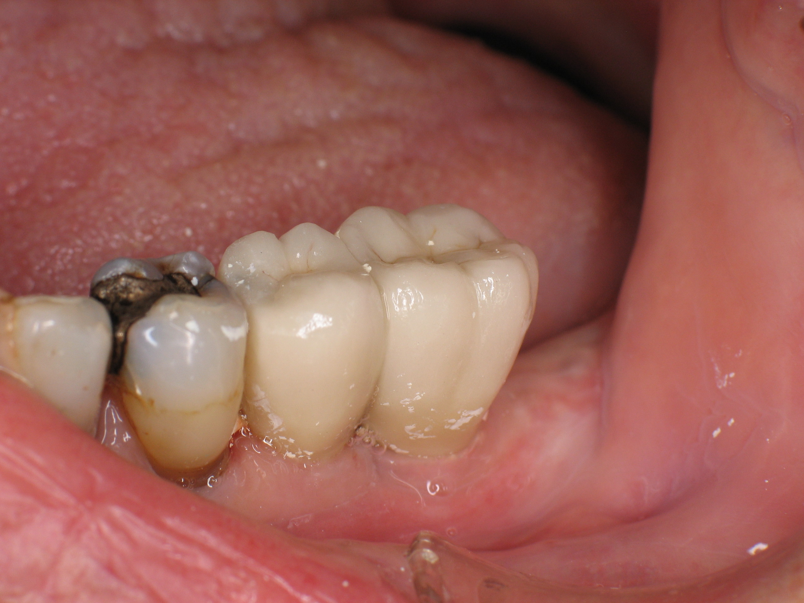
The final crowns are cemented in the mouth.  
They look and function just like natural teeth.
The newer implant systems use color coded components making restoration simpler.
and more predictable than ever.
This patient had been using a removable partial denture
to replace her missing teeth.  Three implants allowed us
to replace all five missing teeth.  She has a beautiful
natural smile, and can eat again comfortably.
At East Northport Dental Care, both the surgical placement of your implant and the final post(abutment)and
crown can be done in our office at a fee that is much lower than the usual fee for our area. Our surgeon is
an experienced oral surgeon who performs a wide range of oral surgical procedures in addition to implants.  
Dr. Freedman also works with a number of surgeons in the area should you wish to choose your own
implant surgeon.  
Implants in the mouth
Two implant posts screwed into place.
A typical implant procedure is demonstrated here.
This patient is missing her lower left first and second molars.
The first step is the placement of the implants into the area of the missing teeth by the surgeon.  
The implant resembles a wall anchor.  See the two implants on the x-ray.  
Three implants placed in the bottom right of this patient's mouth replaced 6 missing teeth.  Not only is
the appearance great, but his chewing efficiency is similar to his natural teeth.  Click on the pictures
to enlarge.
This patient had 3 implants to replaced 3 missing top teeth.  2 on the upper right and 1 in the front.  
2 other teeth had crowns done at the same time.  Note the extremely natural result after the 2 regular crowns
and 3 implant crowns were completed.
E-mail us at
info@freedmandental.com
East Northport Dental Care
Mark H Freedman, DDS
General, Family, Implant and Cosmetic Dentistry
1023 Pulaski Road
East Northport, NY  11731
631-261-2880
Most lower dentures we make now, incorporate two implants with a snap in denture. These dentures are
they stay in place. All phases of this treatment are done in our office, including placing the implants in
the mouth. This patient's upper denture was made in our office as well.