Cosmetic Dentistry
A beautiful smile will not only improve your appearance, but will make your mouth healthier as well.
Many people also enjoy an increased sense of well being and self confidence that a great smile can
provide.    Creating a healthy, beautiful smile is almost as gratifying to us as to our patient.   
When choosing a dentist for your cosmetic treatment, make sure that you see examples of treatment
that he or she has provided.  A friend or family member with a great new smile is a good starting point.  
Ask your dentist to show you before and after photos of treatment similar to that which you require.

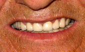
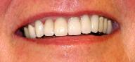
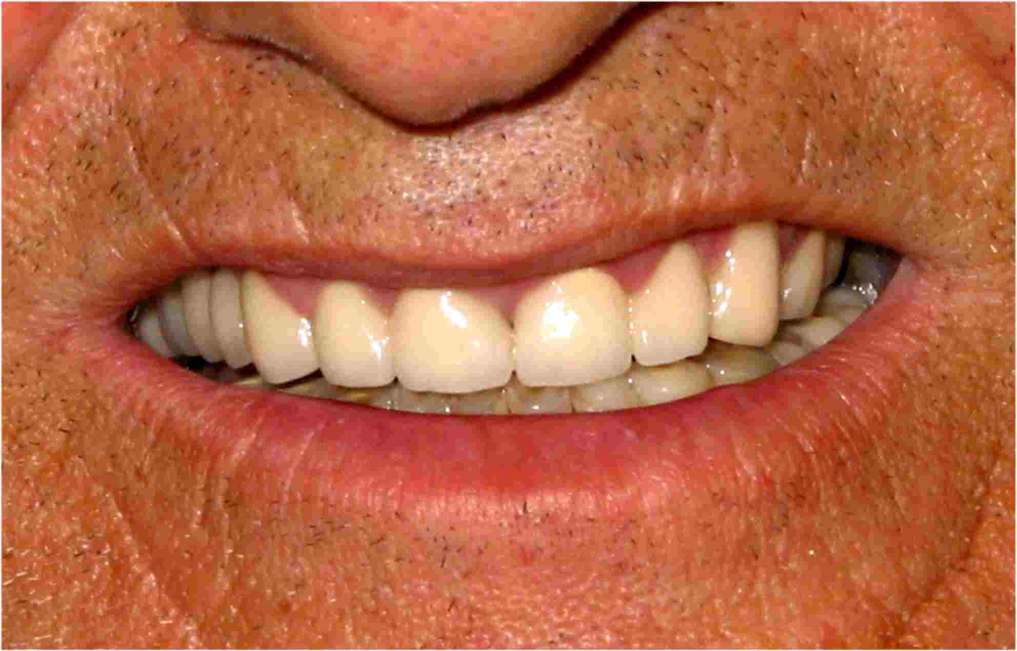
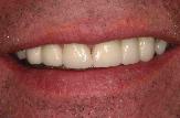
The pictures on this page are some examples of the individual smiles we have created.  Please visit our
Galleries and Procedures pages for more photos and additional information.
E-mail us at
info@freedmandental.com
East Northport Dental Care
Mark H Freedman, DDS
General, Family, Implant and Cosmetic Dentistry
1023 Pulaski Road
East Northport, NY  11731
631-261-2880
Home
Home
Home