Mark H Freedman, DDS
General, Family, and Cosmetic Dentistry
1023 Pulaski Rd.  East Northport, NY  11731
631-261-2880
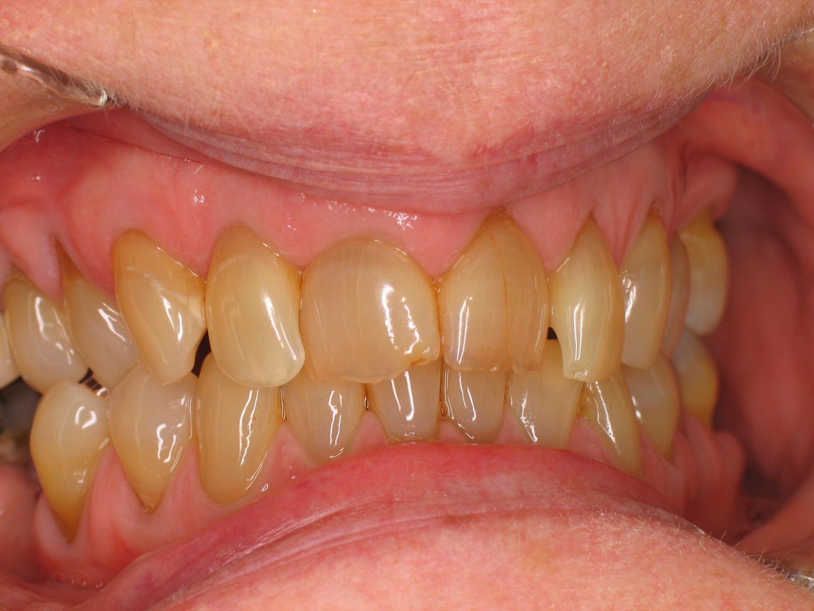
The photos below show a typical result in a patient in her seventies, using
home trays only for about 5 weeks
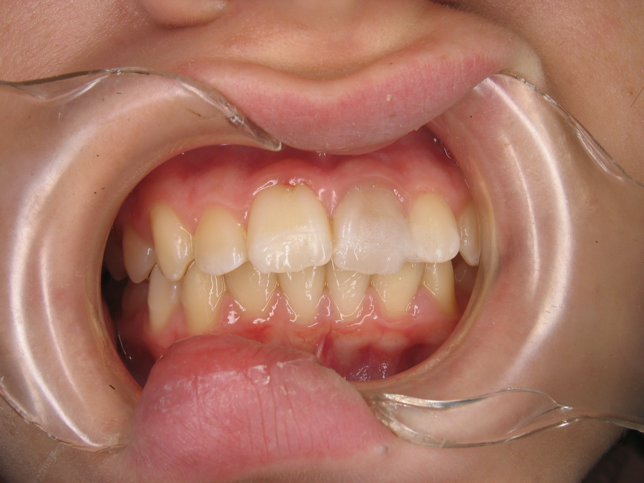
This 19 year old patient bleached only her upper teeth for a period of 2
weeks, using home trays.
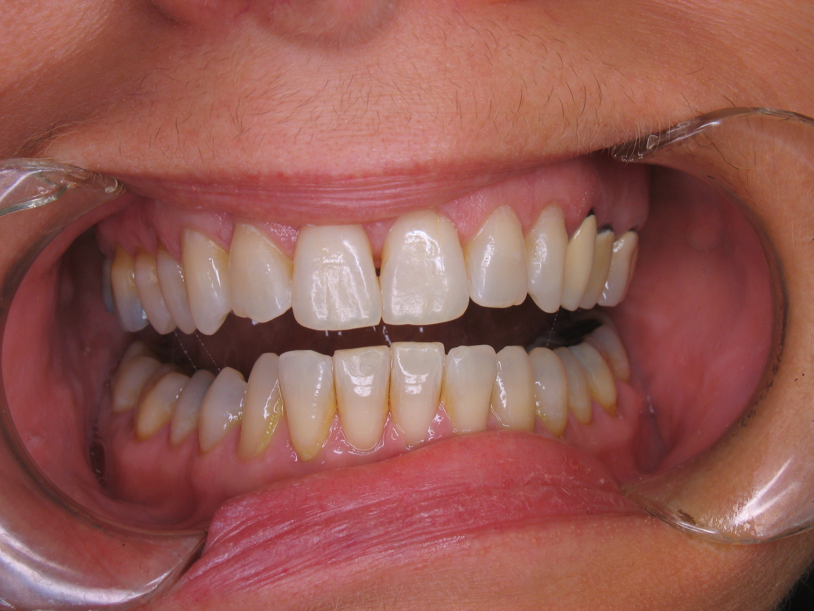
This patient in his forties, bleached only his upper teeth for 3 weeks using home trays.
This photo was taken about 1 year later.  The whitening is still very dramatic.
This patient bleached her top teeth using home trays for about 3 weeks.
This 21 year old shows a typical result using home trays on his top teeth for about 3 weeks.
This patient's result after 12 days of whitening
This patient had 2 weeks of home tray use.
Whitening Gallery
This photo shows a 30 year old patient immediately following Zoom whitening.  
3 weeks of home bleaching with trays, provided this result.
This patient had in-office Zoom whitening. The series of photos shows a young woman
with very dark teeth as she undergoes the entire bleaching process.  Photos #1 and #2
are beforre.  Photo #3 shows final result after completing both the in office Zoom
procedure and using her home trays and bleaching gel for an additional 2 weeks.  
1
2
3
4
This patient had an in office Zoom whitening session followed by 2 weeks of
home bleaching.  This is the whitening regimen we use most often.
At 15 years old, this is one of our younger bleaching patients.  After her braces were
removed the patient and her parents wanted her teeth to be lighter.  There were also
areas of discoloration present.  The bleaching  significantly lightened her teeth and
minimized the discoloration.  
This patient's canine teeth were much darker than her other teeth.  These were selectively
lightened for a week followed by an additional week lightening all her teeth
The photo on the right was taken 3 years after  Zoom whitening, still showing excellent
results.   
Pre and Post-op photos of an 18 year old patient after whitening    
Post-op results in an 18 year old who happens to be Dr. Freedman's daughter.
Before and after two weeks of home whitening
Following trauma to her front teeth, this 15 year old's left cental incisor turned very dark. (fig 1)  
We did root canal to remove the damaged nerve, then whitened her tooth from the inside.  When
it matched her right tooth in color, (fig 2) we used a home whitening tray and bleaching gel to
whiten all her teeth
fig 1
fig 2
This is an immediate post-op result of a patient who just completed the in office zoom procedure.  
The patient will now use her home trays for two weeks to continue the whitening process. This
patient has very thin enamel with excessive wear.  Porcelain laminates would be the best option
for a sparkling, white smile, but the improvement is still very good.
This young lady has been coming to our office since she was a child.  The color discrepancy
was not an issue until shortly before her wedding.  Her two darker teeth were first bleached to
approximately the color of her other teeth.  Then, the rest of her teeth were whitened.
fig 2
fig 3
Before and after.  Fig 3 shows the result when the patient returned after two weeks of home
tray use.  Her teeth are now lighter than a B1 shade, which is a very light color
Two weeks of home tray use gave this result.
Two weeks of home tray use.
Before and after one week of whitening
Teeth are carefully isolated during the Zoom whitening treatment, to keep the zoom
medication out of the mouth and off the gums.
Teeth are carefully isolated during the Zoom whitening treatment, to keep the zoom
medication out of the mouth and off the gums.
Immediate result following the Zoom office whitening procedure.
Immediate result after the Zoom office procedure
Immediate result after the Zoom office procedure.  Use of trays at home with the
bleaching gel provided will continue the lightening.  Patients are encouraged to
touch up the bleaching  twice a year by using the trays for a day or two
immediately after each dental cleaning. This will keep your teeth as white as
possible.
Immediate result after the Zoom office procedure
Immediate result after the Zoom office procedure
Immediate result after the Zoom office procedure
Immediate result after the Zoom office procedure
Immediate result after the Zoom office procedure
Immediate result after the Zoom office procedure
Immediate result after the Zoom office procedure
Immediate result after the Zoom office procedure
Immediate result after the Zoom office procedure
Immediate result after the Zoom office procedure
Immediate result after the Zoom office procedure
Immediate result after the Zoom office procedure
Immediate result after the Zoom office procedure
Immediate result after the Zoom office procedure
Immediate result after the Zoom office procedure
Immediate result after the Zoom office procedure
Immediate result after the Zoom office procedure
Immediate result after the Zoom office procedure
Immediate result after the Zoom office procedure
Immediate result after the Zoom office procedure
Immediate result after the Zoom office procedure
Immediate result after the Zoom office procedure
Immediate result after the Zoom office procedure
Immediate result after the Zoom office procedure
Immediate result after the Zoom office procedure
Immediate result after the Zoom office procedure
Immediate result after the Zoom office procedure
Immediate result after the Zoom office procedure
Immediate result after the Zoom office procedure
Immediate result after the Zoom office procedure
Immediate result after the Zoom office procedure
Immediate result after the Zoom office procedure
Immediate result after the Zoom office procedure
Immediate result after the Zoom office procedure
Immediate result after the Zoom office procedure
Immediate result after the Zoom office procedure
Before and after 12 days of home whitening
Result of Zoom whitening immediately after office procedure.  Patient will continue the
lightening process at home, with the provided trays and bleaching gel
This patient had darker bands across her teeth. Often this occurs as a
condition, but not entirely eliminate it.